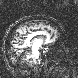
Sagittal Slice
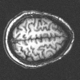
Axial Slice
These are MRI (Magnetic Resonance Imaging) scans of my brain obtained at Brookhaven National Laboratory in 1999. I was a volunteer in a study attempting to correlate brain activity and variable hand gripping strength. My brain showed no activity, but I did learn the meaning of manipulandum.
They actually had trouble shimming my head... I am not kidding, this is what they told me. At one point, my head was misaligned so it appeared as if I had a big hole in my brain. All possible jokes have already been made on this last point...
